Unfallchirurgie und Orthopädie

Oberarzt
Aleksander Rozmus
Facharzt für Unfallchirurgie und Orthopädie
Telefon: 03836 / 257 305
Leistungsspektrum
Das operative und konservative Leistungsspektrum der Orthopädie und Unfallchirurgie deckt nahezu alle Verletzungen, insbesondere Knochenbrüche der oberen und unteren Extremitäten ab.
Brüche sämtlicher langer Röhrenknöchen (Oberschenkel, Unterschenkel, Oberarm, Unterarm) werden mit intramedullären Kraftträgern (sog. Marknägel) oder winkelstabilen Implantaten operativ versorgt.
Zur operativen Behandlung von Knochenbrüchen, die auch die angrenzenden Gelenke betreffen (Handgelenk, Ellenbogengelenk, Schultergelenk, Hüftgelenk, Kniegelenk, Sprunggelenke), stehen moderne Osteosyntheseverfahren (sog. winkelstabile Osteosyntheseplatten) zur Verfügung.
Knochenbrüche um bereits vorhandene Endoprothesen (z.B. an Hüfte oder Knie) können mit speziellen Implantaten operativ versorgt werden.
Verletzungen der großen Sehnen des aktiven Bewegungsapparates (Bizepssehne, Quadrizepssehne, Patellarsehne, Achillessehne) werden mit modernen Operationsverfahren behandelt.
Mit der minimalinvasiven Methode der Arthroskopie (Gelenkspiegelung) werden verschleissbedingte Veränderungen sowie Unfallfolgen des Schultergelenkes (wie z.B. Zusammenhangstrennungen der Rotatorenmanschette, Veränderungen des Schulterdaches (Engpass-Syndrom der Schulter, sog. Impingementsymptomatik), Verkalkungen der Schulter oder Folgen von Schulterverrenkungen) sowie des Kniegelenkes (Meniskussrisse, Verletzungen des vorderen Kreuzbandes) operativ behandelt.
Zur Diagnostik von Gelenkveränderungen bzw. Verletzungen von Gelenkbinnenstrukturen steht am Kreiskrankenhaus Wolgast ein moderner Magnetresonanztomograph zur Verfügung.
Am Schultergelenk werden konservative und operative Verfahren zur Behandlung verschleißbedingter (degenerativer) Veränderungen sowie unfallbedingter Verletzungen durchgeführt. Hierbei kommen minimalinvasive (arthroskopische) sowie offen-chirurgische Operationsverfahren zur Anwendung.
Mit arthroskopischen Operationsverfahren werden in erster Linie Zusammenhangstrennungen der Rotatorenmanschette, Veränderungen des Schulterdaches (Engpass-Syndrom der Schulter, sog. Impingementsymptomatik), Verkalkungen der Schulter oder Folgen von Schulterverrenkungen (Stabilisierungsoperationen bei Schultergelenksinstabilitäten) behandelt.
Offen-chirurgische Operationsverfahren werden nach Brüchen des schultergelenknahen Oberarmknochens sowie nach Verletzungen des Schultereckgelenkes und des Schultergürtels durchgeführt. Hierbei werden modernste winkelstabile Implantate verwendet .
Große Erfahrung besteht im technisch sehr anspruchsvollen operativen Gelenkersatz des Schultergelenkes nach Trümmerbrüchen des Oberarmkopfes.
Wirbelkörperbrüche, die durch eine Abnahme der Knochendichte und -festigkeit im Alter (sog. Osteoporose) entstehen, können durch ein modernes minimalinvasives Operationsverfahren, bei dem der gebrochene Wirbelkörper zunächst über kleine Hautschnitte wieder aufgerichtet und durch anschließendes Einbringen eines speziellen Knochenzementes stabilisiert wird (sog. Ballonkyphoplastie), behandelt werden.
Die operative Behandlung degenerativer Wirbelsäulenerkrankungen erfolgt in Kooperation mit der Neurochirurgischen Gemeinschaftspraxis Greifswald (Dr. med. G. Naujocks, Dipl.-Med. K. Zakrzewski, Dr. med. Dirk-Thomas Pillich) sowie mit der OrthoPraxis Greifswald (Dr. med. Thomas Barz).
Am Kniegelenk werden konservative und operative Verfahren zur Behandlung verschleißbedingter (degenerativer) Veränderungen sowie unfallbedingter Verletzungen durchgeführt. Es werden minimalinvasive (arthroskopische) sowie offen-chirurgische Operationsverfahren angeboten.
Mit arthroskopischen Operationsverfahren werden sowohl Meniskusschädigungen behandelt als auch Bandrekonstruktionen (z.B. Ersatzoperation des vorderen Kreuzbandes (VKB)) durchgeführt.
Offen-chirurgische Operationsverfahren werden z.B. nach Brüchen des Schienbeinkopfes, des kniegelenknahen Anteils des Oberschenkelknochens oder der Kniescheibe durchgeführt.

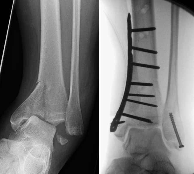
Am oberen und unteren Sprunggelenk sowie am Fußskelett werden konservative und operative Verfahren zur Behandlung unfallbedingter Verletzungen durchgeführt.
Knochenbrüche des Aussen- und Innenknöchels sowie der Gelenkfläche des Schienbeins werden mit Platten-/Schraubensystemen versorgt. Ebenso die seltener auftretenden Knochenbrüche des Sprungbeins und des Fersenbeins.
Verrenkungen der Fußwurzel- und Mittelfußgelenke sowie Knochenbrüche der Mittelfußknochen gehören ebenso zu unserem Leistungsspektrum.
Ein Schwerpunkt der Unfallchirurgie und Orthopädie stellt der operative Gelenkersatz nach Unfallfolgen am Schultergelenk sowie am Hüftgelenk dar.
Trümmerfrakturen des Oberarmkopfes beim älteren Patienten stellen aufgrund der häufig gleichzeitig vorliegenden veschleissbedingten Veränderungen der Muskel- und Bandstrukturen des Schultergelenkes eine besondere Herausforderung dar. Die sog. inverse Schulterendoprothetik, bei der neben dem Oberarmkopf auch die Pfanne des Schultergelenkes ersetzt wird, ist eine etablierte Methode in der Unfallchirurgie und Orthopädie am Kreiskrankenhaus Wolgast und wird in großer Zahl durchgeführt.
Brüche des Oberschenkelhalses werden in Fällen, in denen eine Bruchbehandlung durch Verschraubung (sog. Osteosynthese) nicht möglich bzw. medizinisch nicht sinnvoll ist, durch eine Gelenkersatzoperation des Hüftgelenkes (vollständiger Ersatz des Hüftgelenkes bzw. alleiniger Ersatz des Hüftkopfes) operativ behandelt.
Gelenkersatzoperationen des arthrotisch (altersbedingt degenerativ) veränderten Hüftgelenkes werden in Kooperation mit der OrthoPraxis Greifswald (Dr. med. Thomas Barz) durchgeführt.
Die operative und konservative Therapie von Unfallfolgen bei älteren Patienten stellt einen Schwerpunkt der Abteilung für Unfallchirurgie und Orthopädie dar. Hervorzuheben sind hier Brüche des hüftgelenknahen Oberschenkelknochens, des Beckens, des Oberarmknochens, des handgelenknahen Unterarms, der Wirbelkörper sowie Knochenbrüche um bereits vorhandene Endoprothesen (sog. periprothetische Frakturen).
Moderne Verfahren der operativen Knochenbruchbehandlung und des Gelenkersatzes ermöglichen es, möglichst rasch die Mobilität wiederzuerlangen. Die postoperative stationäre Behandlung erfolgt in enger Zusammenarbeit mit unserem Altersmedizinischen Zentrum.
Die operative und konservative Behandlung von Knochenbrüchen und/oder Gelenkverletzungen im Kindesalter erfolgt unter Berücksichtigung der Besonderheiten des wachsenden Bewegungsgapparates.
Ist eine operative Behandlung notwendig, erfolgt diese unter Anwendung moderner minimalinvasiver Methoden und Materialien.
Falls ein stationärer Aufenthalt erforderlich ist, werden die Kinder möglichst immer mit den Eltern bzw. einem Elternteil in unserer Kinderportalpraxisklinik untergebracht.







